EOI Text Slider
103 First Floor, Sanrachna Avenue, Satya Sai Chouraha, Indore  |  Monday to Saturday: 10AM – 7PM  |  Sunday: 10AM – 1PM  |  For More details please call +91 9479668793 , +91 9425921793

Teeth Whitening

Your Gateway to Optimal Oral Health

Reveal a Brighter, More Confident Smile in Just One Visit!

Say goodbye to stains and discoloration with our safe, professional teeth whitening treatments. Whether you prefer instant results at the clinic or a custom take-home kit, we’ll help you achieve a radiant, whiter smile — comfortably and effectively.

Cleaning the stains

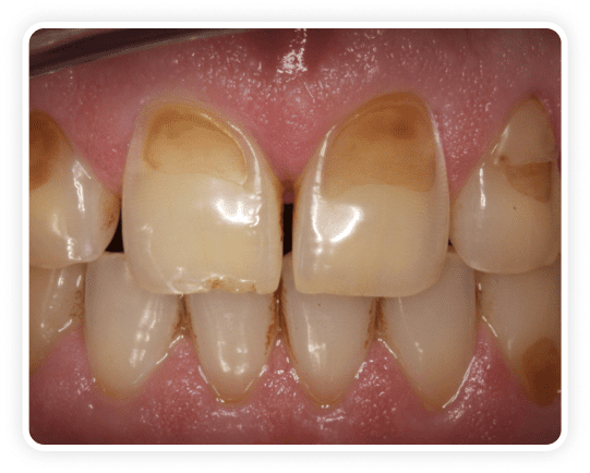
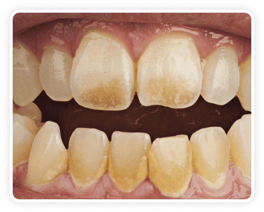
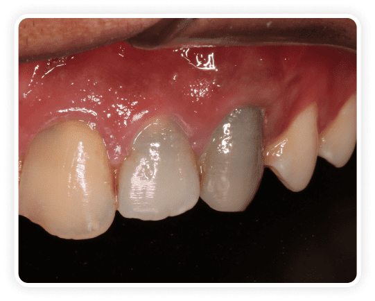
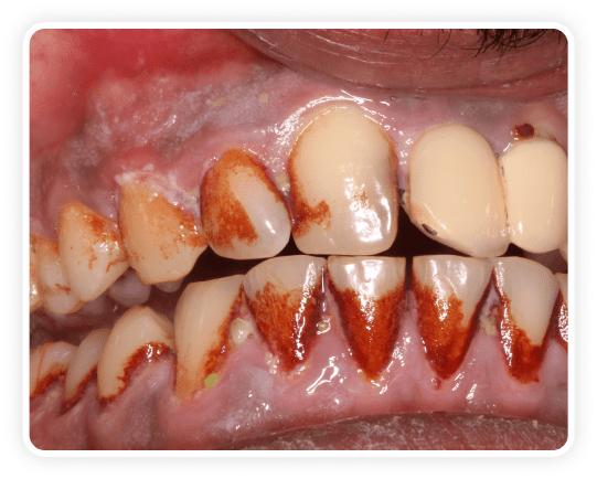
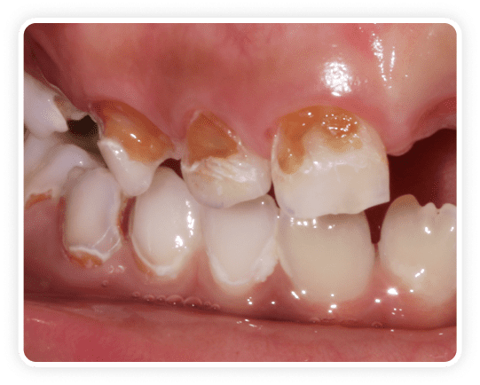
You need professional teeth whitening treatments if you have -

Yellowish deposits

Reddish pan masala stains

Staining because of medicines

Black discolouration due to tooth injury

Flourosis Stains

Smoking Stains

Discoloration because of Decay

Discoloration because of tooth enamel wear

Teeth Whitening at Surana Dental Clinic

Book your whitening consultation today!

Teeth Whitening

A bright, white smile can boost your confidence and leave a lasting impression. At Surana Dental Clinic, we offer safe and effective teeth whitening treatments designed to remove stains and discoloration caused by coffee, tea, smoking, aging, or certain medications. Whether you choose an in-clinic whitening session for instant results or a custom at-home whitening kit for gradual improvement, our expert team ensures your treatment is comfortable, effective, and tailored to your needs. With professional teeth whitening, you can enjoy a noticeably brighter smile in just a short time — safely and confidently.

Teeth Alignment

Our world class teeth whitening treatment options

Cleaning the stains

Teeth bleaching

Laser teeth whitening

Aesthetic dental veneers

Aesthetic dental caps

Aesthetic dental caps

Teeth Whitening Pastes

Dental Veneers

Composite Laminates

Home Teeth Bleaching Kit

Call Now Button