EOI Text Slider
103 First Floor, Sanrachna Avenue, Satya Sai Chouraha, Indore  |  Monday to Saturday: 10AM – 7PM  |  Sunday: 10AM – 1PM  |  For More details please call +91 9479668793 , +91 9425921793

Orthodontic

Your Gateway to Optimal Oral Health

Confident Smiles Start with Expert Orthodontic Care

Straighten your teeth with advanced orthodontic treatments tailored to your unique smile — from braces to clear aligners.

Book Your Orthodontic Consultation Today

Meet with our specialists to discuss your smile goals — no pressure, no cost. Just expert advice and a custom treatment plan.

Correction of open bite and proclined teeth

Crowded Teeth

Correction of crowded and proclined teeth

COMMON QUESTION

WHAT ARE BRACES AGE LIMIT:

American association of orthodontics recommended an evaluation around 7 yrs of age so that jaws and teeth are easily manipulated.
Although the ideal age of orthodontic treatment is around 12-13 yrs (since teeth are not fully grown and bone formation is still under process).
But 1 in every 5 patients for ortho treatments is above 18 yrs of age.

FIXED BRACES

The conventional non removable braces made of brackets that are fixed to each tooth and joined with wires.

Metal braces

Visible conventional braces Made of high quality stainless steel bracket and an arch wire.

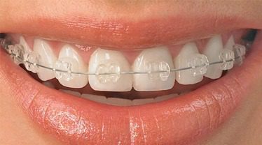
Ceramic braces

Invisible on teeth ( no braces look) Made up of white ceramic wires and brackets.

Lingual Braces

Also known as inside braces (attached to inside of teeth)

Invisaligners

Most modern solution in orthodontics Just like transparent mouth guards , efficient and comfortable as well.

REMOVABLE BRACES

These types of braces can be removed for cleaning and other activities and can be work again. Used for minor problems.

Invisible on teeth ( no braces look) Made up of white ceramic wires and brackets.

Call Now Button