EOI Text Slider
103 First Floor, Sanrachna Avenue, Satya Sai Chouraha, Indore  |  Monday to Saturday: 10AM – 7PM  |  Sunday: 10AM – 1PM  |  For More details please call +91 9479668793 , +91 9425921793

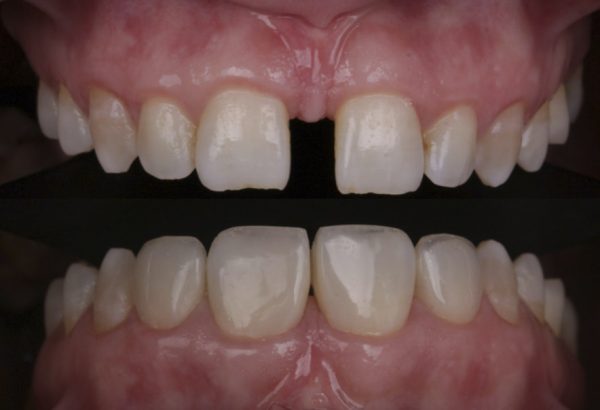
Correction Of Gaps

Your Gateway to Optimal Oral Health

Close the Space, Complete Your Smile

Gaps between teeth (also known as diastema) can affect your smile, confidence, and even oral health. At Surana Dental Clinic, Indore, we offer customized treatments to close these spaces safely and aesthetically — giving you a well-aligned, confident smile.

Correction Of Gaps

Let us help you close the gap and open up your best smile.

Book a Gap Correction Consultation.

Our proficient treatments to fill gaps between the teeth

Tooth coloured fillings

Dental laminates/veneers

Dental caps(crowns)

Orthodontic braces / aligners

Call Now Button