Straighten your teeth discreetly, comfortably, and affordably — all from the comfort of home or with expert in-clinic support.




Take the first step to a confident smile with our easy, hassle-free aligner process. Start your journey today!
At Surana Dental Clinic, Indore, we make your smile transformation with aligners simple and stress-free. 
Here’s how our expert team guides you through the process:
1. Personalized Consultation
Your journey starts with a one-on-one consultation with our dental specialists. We check your teeth, bite, and overall oral health to confirm if clear aligners (Invisalign or similar systems) are the right choice for you.
2. 3D Digital Scan & Smile Preview
We use advanced digital scanning technology to capture your teeth in detail. Our software then creates a virtual treatment plan — so you can actually see how your smile will improve step by step.
3. Custom-Made Aligners
Based on your treatment plan, a series of custom-fit, transparent aligners is created exclusively for you. Each aligner tray is designed to move your teeth gradually into the desired position.
4. Wearing Your Aligners
You’ll wear your aligners 20–22 hours per day, only removing them while eating, brushing, or flossing. Every 1–2 weeks, you’ll switch to the next set of aligners as your smile progresses.
5. Routine Check-ups at Surana Dental
Visit us every few weeks for quick, painless check-ups. Our doctors monitor your progress and make any needed adjustments to keep your treatment on track and results predictable.
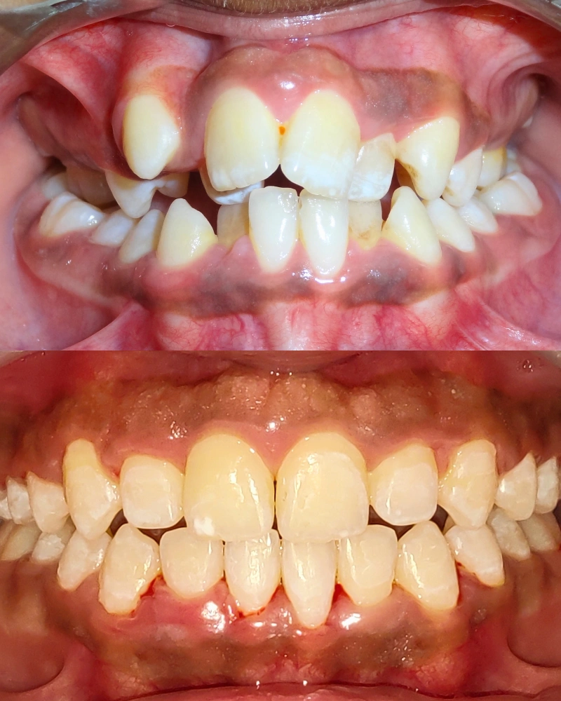
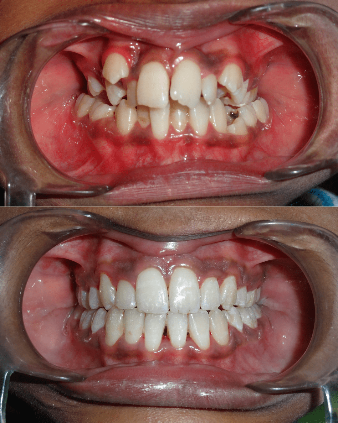
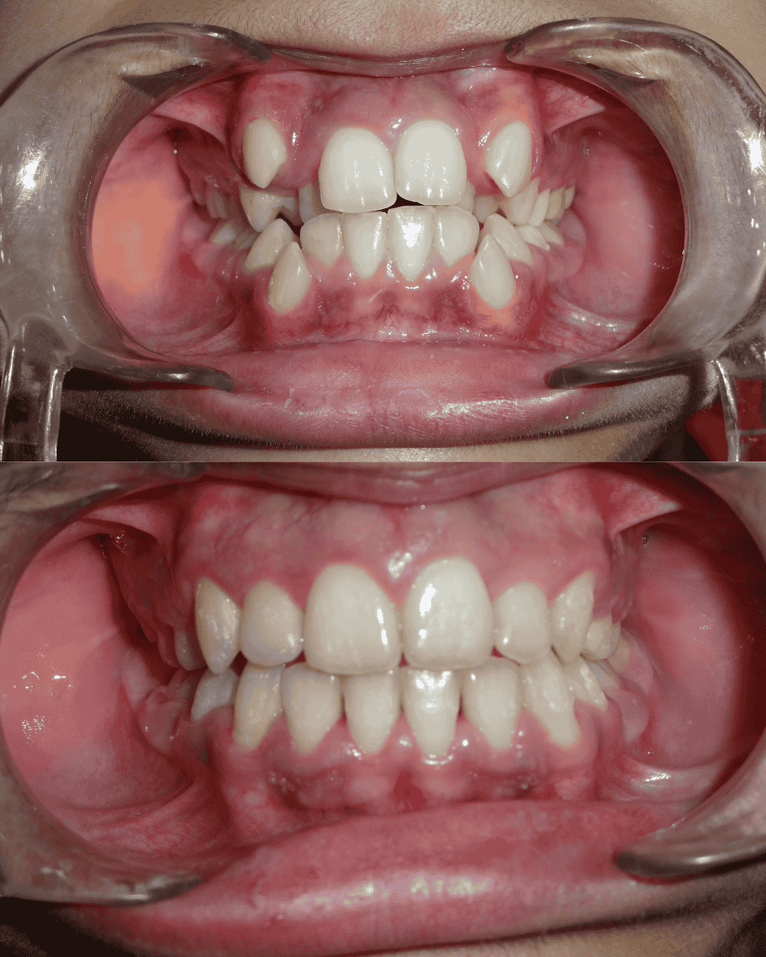
6. Perfect Smile & Retainers
Once your teeth are beautifully aligned, we provide custom retainers to maintain your new smile. Our team also guides you on long-term care to keep your results lasting for years.
Teeth Aligners, also known as clear aligners, are a modern orthodontic solution for straightening teeth. Unlike traditional braces, which use metal wires and brackets, aligners are virtually invisible and custom-made to fit snugly over your teeth. They work by gradually shifting your teeth into the desired position, resulting in a beautifully aligned smile.
Clear & Invisible: Made from transparent plastic, so they’re barely noticeable.
Removable: You can take them out to eat, drink, brush, and floss.
Custom-Fit: Designed specifically for your teeth using 3D scans or impressions.
Gradual Shifting: Each set of aligners applies gentle pressure to move teeth step by step into the desired position.
No Wires or Brackets: Unlike traditional braces, there are no metal components.
															Central India’s First iTero Lumina Scanner – We’re pioneers in bringing the latest scanner for ultra-precise, comfortable, and instant 3D smile previews.
Expert Specialists – Our experienced orthodontists ensure safe, predictable, and effective aligner treatments.
Global Standards, Local Care – World-class technology with personalized attention in the heart of Indore.
All-in-One Dental Care – From scans to aligners, check-ups, and retainers — everything under one roof.
															WhatsApp us